Un grand merci à Michaël Lallemand de nous faire le plaisir de partager son incroyable expérience en anesthésie loco-régionale.
En s’inspirant des techniques de bloc brachial échoguidé décrites chez l’homme et les carnivores domestiques, Michaël a adapté la technique au veau, pour le traitement des ostéomyélites épiphysaire du coude ou arthrite septique hématogène de type E si on applique une classification inspirée de l’équine (qui comporte 3 types : S pour « synovial », E pour « Epiphysis », P pour « Physis »).
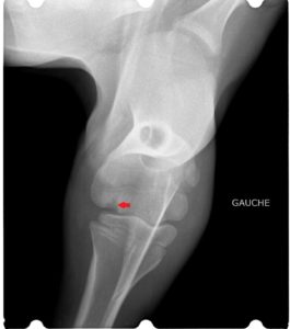
Le cas décrit ici est celui d’ une petite génisse Prim’Holstein de moins d’un mois. Elle avait une arthrite du coude, probablement faisant suite à une entérite (voir radiographies et échographie de l’articulation).



La procédure thérapeutique consiste à réaliser un rinçage articulaire sous pression abondant, ce qui est une procédure connue pour être très douloureuse.
Michaël a donc sedaté le veau avec une petite dose de 0.05 mg/kg de xylazine IV (suffisante pour que le veau reste en decubitus latéral).
Il a ensuite réalisé un bloc échoguidé du plexus brachial, en utilisant une sonde sectorielle micoconvexe et une aiguille spinale.
Le positionnement de la sonde dans le creux axillaire et l’introduction de l’aiguille dans une direction cranio-caudale sont montrés ici :


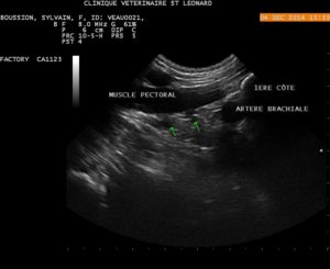
Avant injection, les flèches vertes montrent les nerfs du plexus brachial, sous le muscle pectoral, en coupe transversal.

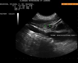
Après injection de lidocaine, les nerfs sont maintenant au contact, ou entouré de lidocaine et le membre (en tous cas le coude) anesthésié.

Les ponctions articulaires ont pu alors être réalisées et l’articulation rincée sous pression : le veau sedate ne bouge pas du tout pendant toute la procédure.
Alors que le veau avait une suppression d’appui totale la veille, il ne boitait plus du tout le lendemain. L’association anesthésie loco-régionale et rinçage précoce a donné d’excellents résultats chez ce veau, qui s’en est sorti sans séquelle.
Un résultat remarquable avec du matériel abordable !!!
N’hésitez pas à nous contacter pour plus d’information sur cette technique.











