30 décembre 2018Bestin’Vet propose de coordonner l’évaluation et la maîtrise des risques liés à l’exposition à l’isoflurane
30 octobre 2018Stephan Mahler est le premier vétérinaire français certifié par l’International Veterinary Academy of Pain Management
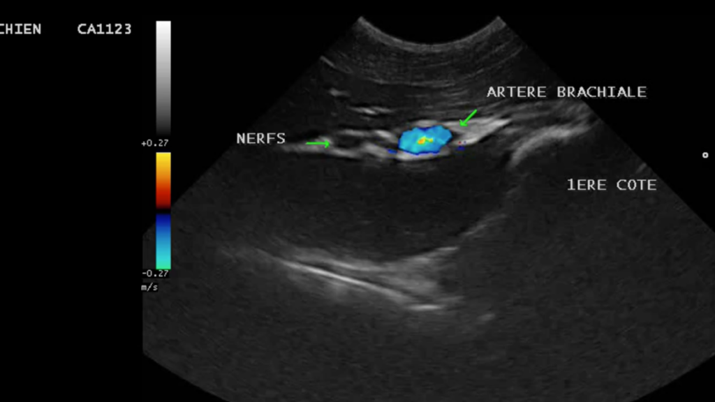
30 octobre 2018Une idée de formation ? le T-FAST (=échographie de dépistage d’un traumatisme thoracique)