Dans le bloc échoguidé du plexus brachial, il est très interessant de noter que :
- L’identification des nerfs est relativement facile à faire,
- Les positionnements de l’animal et de la sonde sont très similaires entre les espèces (voir article),
- L’anatomie est également comparable.
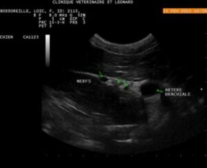
L’animal est en décubitus latéral (ou dorsal), la sonde échographique est placée sur les muscles (superficiel et profond) pectoraux. La première côte et l’artère brachiale servent de référence pour identifier le plexus : les nerfs apparaissent les uns derrière les autres (dans une orientation cranio-caudale), comme des structures rondes hypoéchoiques, entourées d’un tissu hyperéchoique (graisse)
Images échographiques chez le veau (crédit Michaël Lallemand) :

Images échographiques chez le chien (crédit Stephan Mahler) :












